2016.02.16矯正治療日記 vol.17 「マウスピース型矯正装置(インビザライン)のステージング」 みなさま、こんにちは。 今回は、「マウスピース型矯正装置(インビザライン)のステージング」についてです。&nb…
2016.01.17矯正治療日記 vol.16 「マウスピース型矯正装置(インビザライン)の取り外し方」 みなさま、こんにちは。 今回は、マウスピース型矯正装置(インビザライン)治療をスタートした患者さまが一番最初に…
2015.12.08矯正治療日記 vol.15 「マウスピース型矯正装置(インビザライン)の世界的な実績」 みなさま、こんにちは。 今回は、マウスピース型矯正装置(インビザライン)矯正の患者様が世界で300万人を超え…
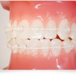
2015.11.10矯正治療日記 vol.14 「マウスピース型矯正装置(インビザライン)の補助装置」 みなさま、こんにちは。 今回はマウスピース型矯正装置(インビザライン)の補助装置についてです。&n…
2015.09.24矯正治療日記 vol.13 「マウスピース型矯正装置(インビザライン)の使用時間」 みなさま、こんにちは。 今回は、マウスピース型矯正装置(インビザライン)の使用時間についてご紹介し…
2015.08.15矯正治療日記 vol.12 「マウスピース型矯正装置(インビザライン)治療の流れ」 みなさま、こんにちは。 今回は、前回に引き続きマウスピース型矯正装置(インビザライン)治療の流れ…
2015.06.17矯正治療日記 vol.11 「マウスピース型矯正装置(インビザライン)とは」 みなさま、こんにちは。 今回は、当院で多くの患者さまが治療を行っているマウスピース型矯正装置(インビザライン)…