2024.07.05
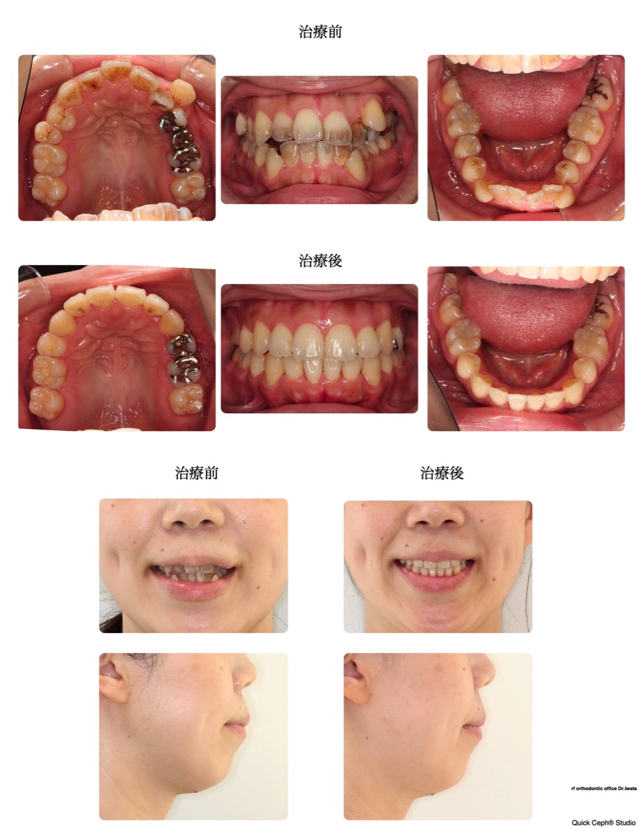
【主訴】 左上の八重歯がを治したい。デコボコで歯磨きがしづらい。口元が出ている気がする
【主な症状】叢生 上下顎前突
【抜歯部位】上下顎両側第二小臼歯
【矯正歯科治療のリスク・副作用】う蝕、歯肉炎、歯周炎、歯根吸収、歯肉退縮
| 治療方法 | マウスピース型矯正装置 |
|---|---|
| 治療期間・回数 | 22ヶ月・13回 |
| 性別 | 女性 |
| 年齢 | 30代 |
| 治療費用 | ¥1,085,000+TAX |

※当院では矯正治療を行う全ての患者様に対して矯正精密検査を行い治療方針を決定致します。そのため治療計画、治療結果及び治療期間については患者様や歯並びの状況により異なります。