
2026.02.28
過盖咬合症例 <下顎前歯の先天欠損と上顎前歯の舌側傾斜を併う過蓋咬合に対する非抜歯矯正治療>
【主訴】 上の真ん中2本の前歯が内向きになっていて、横の歯が外に出ているのが笑った時や写真を撮るときに気…
過蓋咬合|水道橋の矯正歯科 アールエフ矯正歯科

【主訴】 上の真ん中2本の前歯が内向きになっていて、横の歯が外に出ているのが笑った時や写真を撮るときに気…

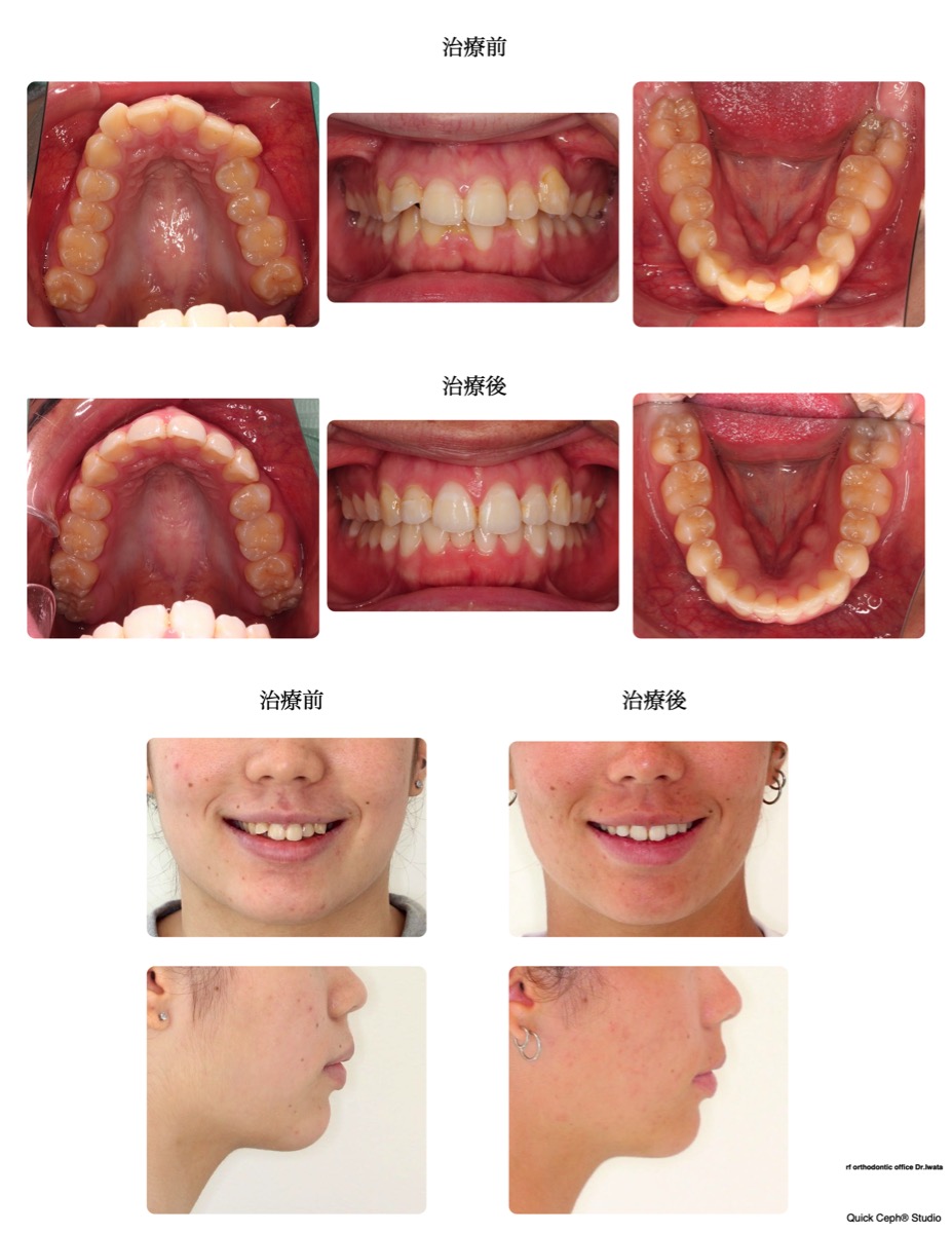
【主訴】 上の歯が内向きに生えていて、かみ合わせが深いのが気になる。下の前歯がデコボコしている。 【主…

主訴ディープバイト(咬み合わせが深い)と下の歯のガタガタ(叢生)が気になるこのようなお悩みを抱えている方に対し、矯正歯科…

【主訴】 下の前歯のデコボコと深いかみ合わせが気になる。【主な症状】 過蓋咬合 叢生【抜歯部位】 なし【矯正…

【主訴】 出っ歯と噛み合わせが深いのが気になる。前歯が今後削れないか心配なので歯並びを治したい。 【主…

【主訴】 上下前歯がガタガタしている。下の歯が見えない。 【主な症状】 過蓋咬合 叢生 上顎前突 【…

【主訴】 前歯のガタガタと口元が出ているのを綺麗にしたい。 【主な症状】 過蓋咬合 叢生 上顎前突 …

【主訴】 全体的に歯が内側に倒れているので噛み合わせを良くしたい。ガタガタがあるので歯磨きがしにくい。下の歯…

【主訴】 舌癌の既往があり今後の舌への影響も考えて下の歯のガタガタを治したい。上の歯が1本無いので抜歯はせず…

【主訴】 下の歯が見えないのでディープバイトを治したい。下の前歯もガタガタしているのでそこもキレイにしたい。…