
2019.09.24
空隙歯列症例 <過蓋咬合および正中離開を伴う空隙歯列に対する非抜歯矯正治療>
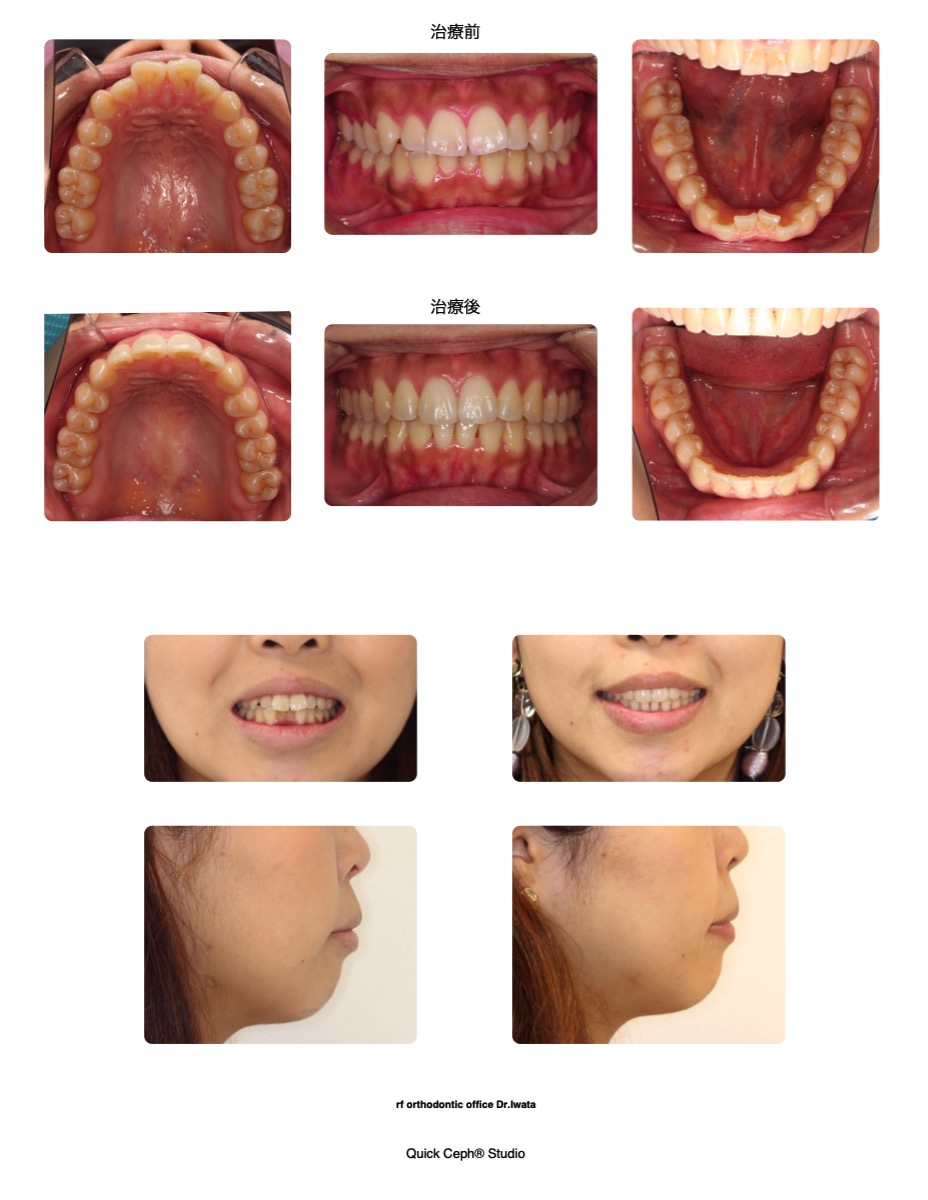
【主訴】 上の前歯のすき間が目立つのを治したい。前歯が前に出ていて下の歯が見えないのが気になる。口元も改善で…
治療症例|水道橋の矯正歯科 アールエフ矯正歯科

【主訴】 上の前歯のすき間が目立つのを治したい。前歯が前に出ていて下の歯が見えないのが気になる。口元も改善で…

【主訴】 上下の前歯のデコボコが気になる。左下に乳歯が残っていて永久歯が出てきてない。発音も少ししにくいので…

【主訴】 八重歯とガタガタの歯並びが気になる。歯ブラシがしにくく、むし歯にならないかも心配。【主な症状】過蓋…

【主訴】上下前歯のガタガタが気になる。下の親知らずのせいでズレている気がする。【主な症状】上下顎前歯部叢生(ガタガタ)/…

【主訴】上の出っ歯を治したい。口元をきれいにしたい。【主な症状】骨格性下顎後退(下アゴが後方に位置している状態)/上下顎…

【主訴】下の前歯の凸凹が気になる。左右の噛み合わせがズレている気がする。【主な症状】上下顎前歯部叢生(ガタガタ)/上下顎…

【主訴】上の出っ歯が気になる。下の前歯のでこぼこを治したい。口が少し閉じにくい。【主な症状】骨格性上顎前突(上アゴが前方…

【主訴】上下の前歯のガタガタが気になる。歯磨きがしにくい。【主な症状】上下顎前歯部叢生(ガタガタ)/上下顎前歯軽度唇側傾…

【主訴】下の歯並びが気になる。噛みにくいのでかみ合わせを良くしたい。【主な症状】右側第2大臼歯鋏状咬合(上下の歯がすれ違…

【主訴】以前矯正治療をしていた歯がずれてきた。隙間が気になる。【主な症状】下顎前歯部空隙(下の前歯に隙間がある)/下顎前…