2023.12.19
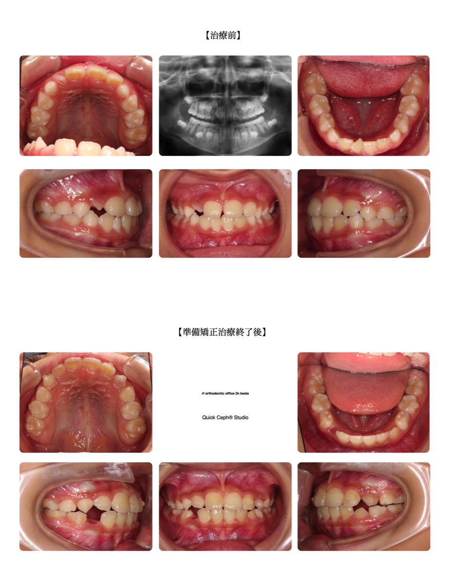
【主訴】上下の前歯が捻じれて出てきた
【主な症状】叢生
【矯正歯科治療のリスク・副作用】う蝕、歯肉炎、歯根吸収
※永久歯列完成後に本格矯正治療(永久歯の仕上げの矯正)が必要になる場合があります。
| 治療方法 | マウスピース型矯正装置 |
|---|---|
| 治療期間・回数 | 10ヶ月・12回 |
| 性別 | 女性 |
| 年齢 | 7歳 |
| 治療費用 | ¥715,000+TAX |

※当院では矯正治療を行う全ての患者様に対して矯正精密検査を行い治療方針を決定致します。そのため治療計画、治療結果及び治療期間については患者様や歯並びの状況により異なります。