マウスピース矯正の治療期間は通常の矯正に比べ、どのくらい違うのでしょうか? | 水道橋の矯正歯科 アールエフ矯正歯科

マウスピース矯正の治療期間は通常の矯正に比べ、どのくらい違うのでしょうか?|水道橋の矯正歯科 アールエフ矯正歯科

完全予約制
休診日:月・金・祝日・隔週日曜
03-5803-1488
FAQ
よくあるご質問

マウスピース矯正の治療期間は通常の矯正に比べ、どのくらい違うのでしょうか?

Q

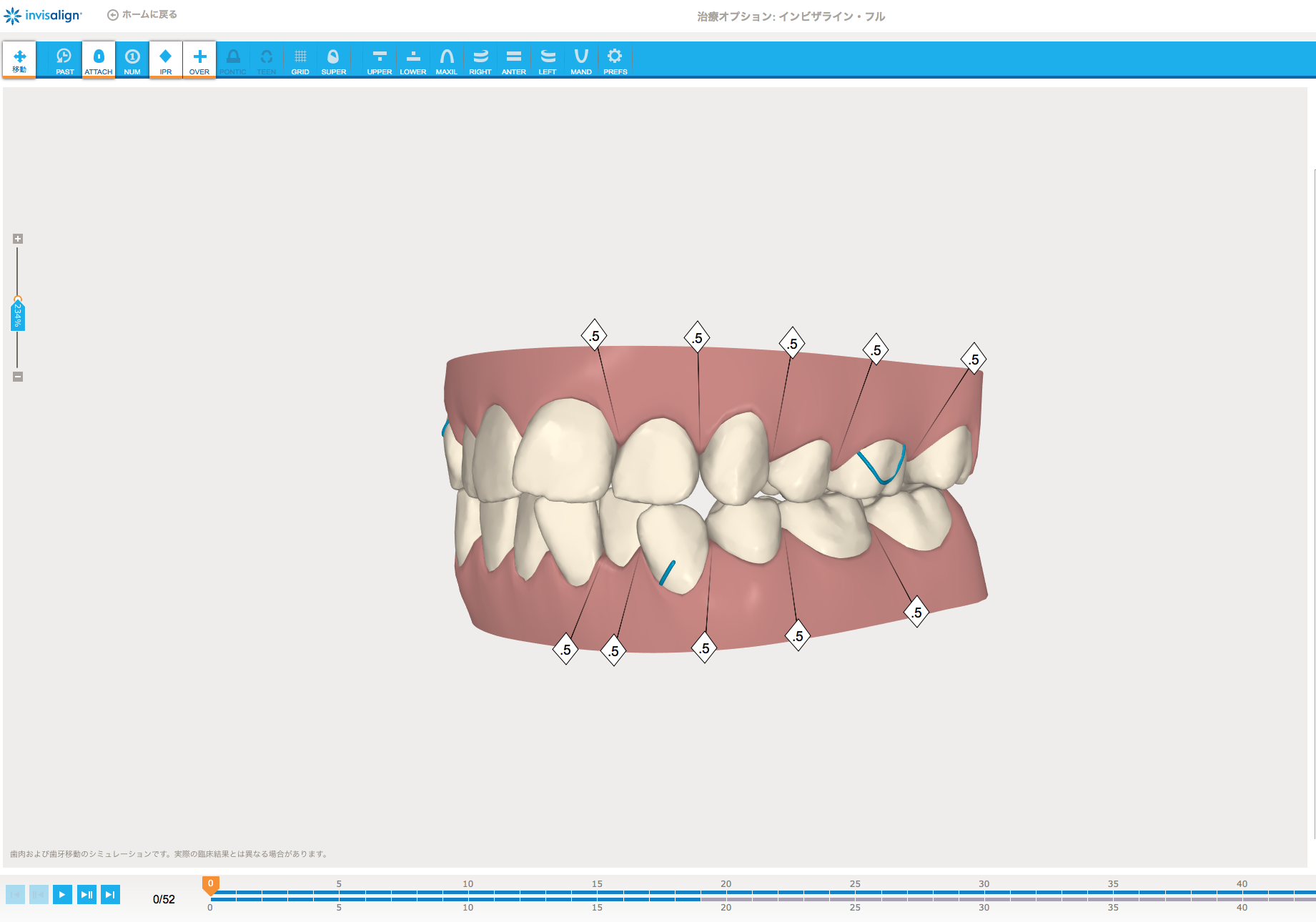
ワイヤー矯正に比べて、マウスピース型矯正装置(インビザライン)は期間が長くなりますか?

A

当院の患者様の治療期間を比較しますと、表側からのワイヤー装置とほぼ同じ期間で治療を終了されています。

マウスピース型矯正装置(インビザライン)の場合は、予め枚数がわかりますので、マウスピース1枚当たりの日数を掛け合わせることでより正確に治療期間をご提示できます。

 

スクリーンショット 2015-12-20 12.19.14 スクリーンショット 2015-12-20 12.22.02