2016.01.13
マウスピース型矯正装置(インビザライン)を考えています。
透明なマウスピース以外にもいろいろ使うと治療している友達に聞きました。どういうものですか?
マウスピース型矯正装置(インビザライン)でのマウスピース治療では歯を正確に動かしていくにはいくつかの補助的な装置を使用します。
「補助装置」つまりマウスピース装置による歯の移動を助ける装置です。
①Aligner Chewie(アライナー・チュウィー)
マウスピースを歯列によりしっかりとフィットさせる為の補助として、装着時に使用します。装着時にこれを咬むことにより歯を動かす違和感を軽減する効果があります。新しいマウスピースに交換した3日間は、装着時に毎回使用して頂きます。約1分ほどしっかり歯列全体で噛んで、マウスピースと歯をフィットさせていきます。
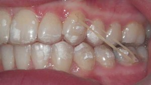
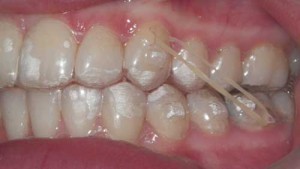
②顎間エラスティック(ゴム)
上下の歯の咬み合わせを改善、微調整するために使用します。また、歯の移動時に起こる反作用の力を抑えることができます。必要に応じてある一定期間使用して頂きますが、ゴムは口腔内の側方につけるためほとんど目立ちません。
これらはマウスピース型矯正装置(インビザライン)の治療において、とても重要な装置です。「補助装置」をしっかり使えるかどうかが、治療期間や治療結果に影響します。

